Casos Clínicos

Casos Clínicos

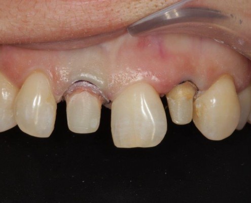
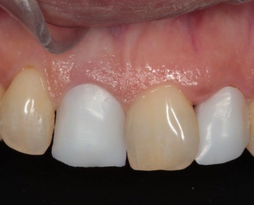
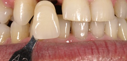
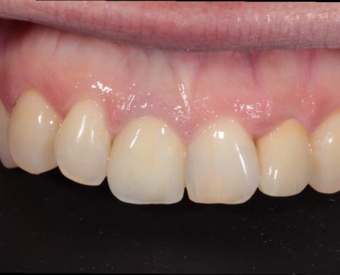
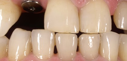
Rehabilitación

Rehabilitación de las piezas 12 y 22 con pilar de circonio personalizado y carillas de disilicato de litio cad-e.max.

Conclusión

Las nuevas tecnologías y materiales biocompatibles, nos permiten realizar prótesis más estéticas y precisas.